Informationen zum Kurs
Lehrziel:
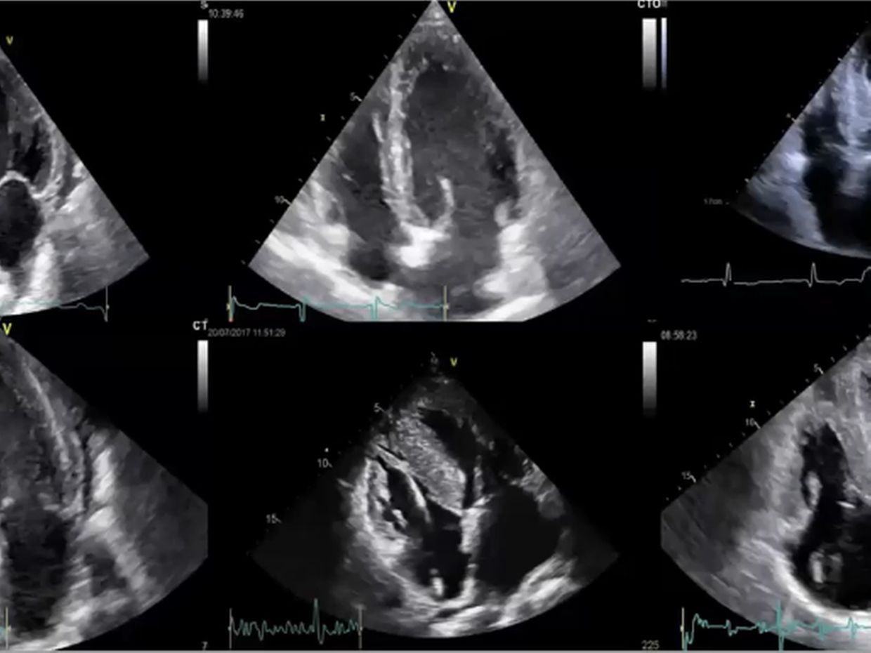
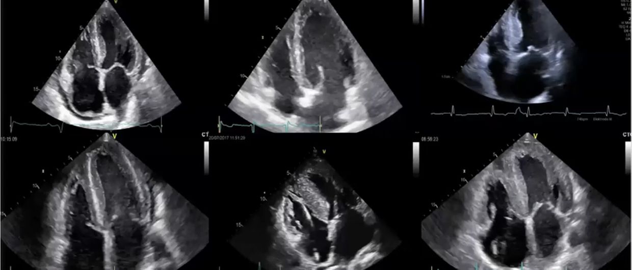
Der Stellenwert der Echokardiografie als Screening-Tool und zur Verlaufskontrolle bei hypertrophen Kardiomyopathien steht im Fokus dieses Videolearnings. Sie erfahren, warum mit der Echokardiografie keine endgültige Diagnose möglich ist, diese aber gegebenenfalls die weitere Abklärung anstößt.
Primäre Zielgruppe:
Kardiologen
Wissenschaftliche Leitung/Vortragende:
Dr. Christina Binder-Rodriguez
Klinische Abteilung für Kardiologie
Medizinische Universität Wien
DFP-Punkte:
Für die richtige Beantwortung der Multiple-Choice-Fragen im Anschluss an den Fachartikel wird 1 Punkt für das Diplom-Fortbildungs-Programm der Österreichischen Ärztekammer zuerkannt.
Fachbereich:
Kardiologie
Lecture Board:
DDr. Daniel Dalos, PhD
Klinische Abteilung für Kardiologie
Medizinische Universität Wien
Univ.-Prof. Dr. Thomas Binder
Klinische Abteilung für Kardiologie
Medizinische Universität Wien
Ärztlicher Fortbildungsanbieter:
Gesellschaft der Ärzte
Organisation:
Universimed Cross Media Content GmbH
Kosten:
Dieser Kurs wird Ihnen kostenlos zur Verfügung gestellt.
Offenlegungsstatement:
Alle Personen, die bei diesem Kurs vortragen bzw. an den Inhalten mitgewirkt haben, wurden aufgefordert, eventuell bestehende Interessenkonflikte offenzulegen, die mit einer Beeinflussung der Lehrinhalte einhergehen könnten.
Sponsor:
Pfizer Corporation Austria Ges.m.b.H.
Gültig bis:
März 2026