Informationen zum Kurs
Lehrziel:
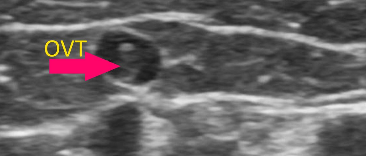
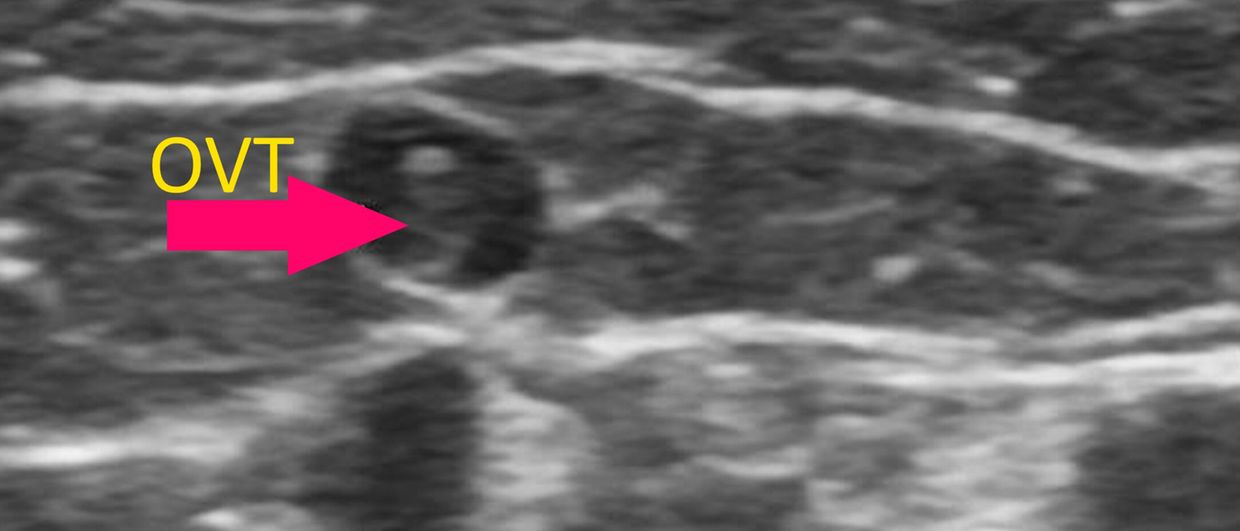
Nach der Lektüre dieses DFP-Literaturstudiums wissen Sie um das Risiko für die Betroffenen einer OVT. Sie erfahren, welche Untersuchungsverfahren relevant für die Diagnose sind. Und Sie erhalten wichtige Informationen zur Therapie der OVT, sowohl im Allgemeinen als auch in besonderen Situationen.
Primäre Zielgruppe(n):
Ärzte für Allgemeinmedizin, Innere Medizin, Kardiologie, Angiologie, Dermatologie und Phlebologie
Wissenschaftlicher Leiter:
Priv.-Doz. Priv.-Doz. OA Dr. med. univ. Reinhard B. Raggam
Klinische Abteilung für Angiologie
LKH Universitätsklinikum Graz
Medizinische Universität Graz
Schirmherrschaft:
Österreichische Gesellschaft für internistische
Angiologie (ÖGIA)
Autor:
Dr. Andreas Rainer Kimmerle
Klinische Abteilung für Angiologie
LKH Universitätsklinikum Graz
Medizinische Universität Graz
DFP-Punkte:
Für die richtige Beantwortung der Multiple-Choice-Fragen werden 2 Punkte für das Diplom-Fortbildungs-Programm der Österreichischen Ärztekammer zuerkannt.
Fachbereich:
Allgemeinmedizin, Innere Medizin, Kardiologie, Angiologie, Dermatologie und Phlebologie
Lecture Board:
Prof. Dr. Martin Werner
Spezialist für Gefäßkrankheiten
Priv-Doz.Dr. Markus Theurl
Kardiologische Ambulanz und Angiologische Sprechstunde
Tirol Kliniken
Ärztlicher Fortbildungsanbieter:
Österreichische Medizinische Gesellschaft für Real World Evidence (ÖMGRWE)
Organisation:
Universimed Cross Media Content GmbH
Kosten:
Dieser Kurs wird Ihnen kostenlos zur Verfügung gestellt.
Offenlegungsstatement:
Alle Personen, die bei diesem Kurs vortragen bzw. an den Inhalten mitgewirkt haben, wurden aufgefordert, eventuell bestehende Interessenkonflikte offenzulegen, die mit einer Beeinflussung der Lehrinhalte einhergehen könnten.
Sponsoren:
Viatris Austria GmbH
Gültig bis:
April 2027